기사입력시간 20.04.07 16:12최종 업데이트 20.04.07 16:15

제보

혈장치료로 코로나19 중증 환자 2명 완치…혈장치료 확대 속도 붙나?

세브란스병원서 치료 진행해 1명은 퇴원..곧 진료지침 공개하고 혈장 채취 체계 논의

[메디게이트뉴스 하경대 기자] 신종 코로나바이러스 감염증(코로나19) 중증 환자 2명이 혈장치료를 받고 완치됐다.
 
혈장치료가 코로나바이러스 치료에 효과가 있다는 해외 연구는 그동안 많이 나왔지만 임상적으로 치료효과를 국내에서 입증했다는 점에서 향후 국내에서도 혈장치료 확대가 가시화될 것으로 전망된다. 중앙방역대책본부도 이번주 내로 혈장치료 가이드라인을 마련하겠다고 약속하고 여당도 당정회의를 개최하는 등 혈장치료 도입을 위해 속도를 내고 있다.
 
세브란스병원감염내과 최준용 교수팀은 7일 국내 처음으로 위중한 코로나19 환자 두 명을 대상으로 완치자의 혈장을 주입한 결과 증세가 호전됐다고 밝혔다. 혈장치료를 받은 두 명 모두 완치됐으며, 이 중 한 명은 퇴원한 상태다. 이번 연구결과는 Journal of Korean Medical Science(대한의학회지) 최신호에 게재됐다.
 
“스테로이드‧혈장치료 병행 시 바이러스 농도 감소”
 
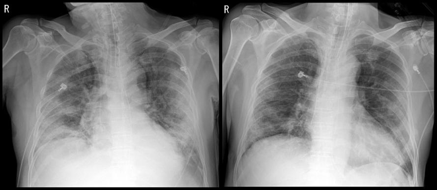
71세 남성 X-ray 사진<사진=세브란스병원>

김모(71, 남)씨는 열과 기침 증상을 보이다가 코로나19 확진을 받았다. 말라리아 치료제와 에이즈 치료제로 항바이러스 치료를 받았지만, 상태가 좋아지지 않아 세브란스병원으로 이송된 케이스다.
 
도착 당시 호흡 속도는 분당 30회 이상(정상 성인의 경우 20회 이하)으로 흉부 X-ray 검사에서도 양쪽 폐 모두 심각한 폐렴 증상을 보였다. 급성호흡곤란증후군으로 인공호흡기를 부착했지만, 상태는 좋아지지 않았다. 염증수치를 나타내는 C-반응성단백(CRP)의 경우 172.6mg/L(정상은 8mg/L 미만)까지 상승했다.
 
연구팀은 완치 판정을 받고 2주가 지난 남성의 회복기 혈장 500ml를 김씨에게 12시간 간격으로 두 번에 걸쳐 투여했고, 동시에 스테로이드 치료도 시작했다. 혈장치료와 스테로이드 치료를 받은 김씨의 경우 열이 떨어지고 CRP는 5.7mg/L로 정상범위로 떨어졌다.
 
흉부 X-ray 검사상 양쪽폐도 더 이상 나빠지지 않았다. 혈장을 투여받는 동안 특별한 부작용도 없었다. 현재 김씨는 인공호흡기를 제거했고, 코로나19 검사에서 음성 반응으로 완치 판정을 받았다.
 
두 번째 혈장 치료를 받은 이모(67, 여)씨의 경우 평소 고혈압 병력이 있는 가운데 고열과 근육통으로 코로나19 진단을 받았다. 진단 3일째부터 호흡 곤란으로 산소요구량이 높아지면서 왼쪽 폐 상태가 나빠져 세브란스병원으로 이송됐다.
 
이송 당시 호흡 속도는 분당 24회, 산소포화도는 산소 투여에도 93%(일반 평균 95% 이상)로 확인됐다. 면역결핍(림프구감소증)과 함께 CRP 역시 314 mg/L까지 상승했고, 심각한 호흡곤란 증세로 인공호흡기를 부착했다.
 
이씨에게도 말라리아 치료제와 에이즈 치료제를 투여했고, 산소 수치를 높이기 위해 몸을 뒤집는 치료를 시도했지만 림프구감소증과 고열이 지속됐다. 스테로이드 치료에도 불구하고 림프구감소증이 지속되고 바이러스 농도는 증가하고 있었다.
 
이씨의 경우 역시 완치자의 회복기 혈장을 12시간 간격으로 두 번에 걸쳐 투여했다. 혈장 투여와 스테로이드 치료를 시행한 후 림프구수가 회복되고 바이러스 농도가 감소했다. 흉부 X-ray 검사에서 폐의 침윤이 몰라보게 좋아졌으며, CRP 역시 정상 수준을 회복했다. 이씨는 이후 완치 판정을 받고 3월 말 퇴원했다.
 
67세 여성 X-ray 사진 <사진=세브란스병원>

최준용 교수는 “두 환자 모두 회복기 혈장 투여와 스테로이드 치료 후 염증 수치, 림프구수 등 각종 임상 수치가 좋아졌다”면서 “중증 폐렴을 치료하기 위해 바이러스 증식과 과도한 염증 반응을 모두 잡아야 하는데 스테로이드 치료는 염증 반응을 호전시키지만, 바이러스 증식에는 악영향을 미친다”고 설명했다.
 
최 교수는 “회복기 혈장 속에 있는 중화 항체를 통해 바이러스 증식을 억제하는 것이 같이 들어가면 도움이 될 수 있으며, 이런 조합이 위중한 코로나19 환자에게 시도될 수 있다”면서 “혈장치료가 나름의 부작용들이 있고 대규모 임상시험이 없어 과학적인 증거는 충분하지 않다. 그러나 항바이러스 치료 등에 효과가 없는 중증 환자들에게 스테로이드 등의 치료와 병행할 수 있는 치료 대안이 될 것”이라고 말했다.
 
방대본, 며칠 내 진료지침 공개예정…여당도 혈장치료 위해 ‘패스트트랙’ 마련
 
정부당국도 조만간 회복기 혈장치료 지침을 공개할 예정이라는 입장이다. 권준욱 질병관리본부 중앙방역대책본부 부본부장은 이날 정례브리핑에서 "며칠 내로 지침이 확정될 예정이다. 현재 서면으로 전문가들의 검토를 받고 있는 상황"이라며 "과거 메르스 당시 만들었던 지침을 준용했다"고 말했다.
 
권 부본부장은 "아직 확실한 치료제나 백신이 없는 상황에서 중증환자의 치명률을 줄이는 것은 상당히 중요하다. 이에 방대본은 혈장치료와 관련해 회복기 혈장의 확보와 치료관련 시스템이 마련될 수 있도록 신속하게 준비할 것"이라고 설명했다.
 
여당도 혈장치료의 빠른 도입을 위한 적극 협조를 약속했다. 더불어민주당 코로나19국난극복위원회 치료제TF 팀장인 허윤정 의원은 7일 "보건복지부와 질병관리본부, 국립보건연구원과 함께 실무 당정협의를 진행해 코로나19 혈장 치료제의 빠른 도출을 위한 ‘패스트트랙’을 마련했다"고 밝혔다.
 
허 의원은 "민주당과 정부는 완치자의 신속한 혈액과 혈장 채취를 위해 국가가 공모한 혈장 치료제 연구에 대해서 의료기관의 개별심의를 면제할 수 있도록 했다"며 "채혈업무에 특화된 대한적십자사 등 의료기관의 협조를 통해 연구자의 신속한 혈장 치료제 연구 지원 방안을 마련했다"고 말했다.
 
다만 아직 해결해야 할 문제도 남아있다. 현재 혈장치료에 있어서 가장 큰 문제는 회복기 혈장채취가 쉽지 않다는 것이다. 완치자 숫자가 증가하고 있긴 하지만 안정적으로 혈장 채취를 할 수 있는 시스템이 마련돼 있지 않은 상태다.
 
최준용 교수는 “완치자가 항체를 가지는 기간이 있다. 완치자들로부터 혈장을 충분히 확보하기 위해 혈장 기증자들을 효율적으로 관리하고 이를 바탕으로 혈장을 확보할 수 있는 시스템이 구축돼야 한다”며 “혈장 기증자를 모집하고 혈장을 확보해서 적절히 배분할 수 있는 컨트롤타워가 필요하다”고 말했다.

이에 대해 권준욱 부본부장은 "현재 혈장 기증자에 대한 별도의 혜택 등이 있었는지 파악하고 있지 못한 상태다. 향후 임상전문가들과 함께 효과에 대해 검토한 후 체계가 갖춰지면 메르스 당시 지침 등과 여러가지 상황 등을 고려해 체계를 갖추도록 하겠다"고 전했다.
 

하경대 기자 (kdha@medigatenews.com)

전체 뉴스 순위

칼럼/MG툰

English News

전체보기

유튜브

전체보기

사람들

이 게시글의 관련 기사